Clínica Dental Menara

Villaviciosa de Odón

En Clínica Dental Menara somos una clínica dental moderna especializada en implantología avanzada, sedación consciente con anestesista propio y estética dental premium.

Nuestro objetivo es claro: devolverte la confianza con una sonrisa sana, funcional y sin dolor

Contamos con un equipo médico altamente cualificado:

  • Reduan, médico anestesista, especialista en sedación consciente, que acompaña a pacientes con miedo al dentista.

  • Sara, experta en rehabilitación oral completa y estética dental, con un enfoque integral que transforma sonrisas de principio a fin.

👉 En Menara Dental unimos tecnología avanzada, trato humano y tratamientos personalizados para ofrecerte una experiencia diferente.

Reserva tu primera consulta

Cuéntanos tu caso y nuestro equipo de especialistas valorará la mejor solución para tu sonrisa.

Servicios

“Transformamos sonrisas de principio a fin.
Empieza hoy la tuya.”

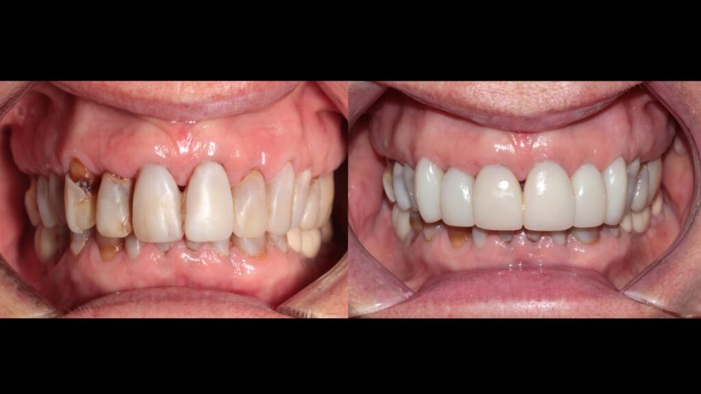
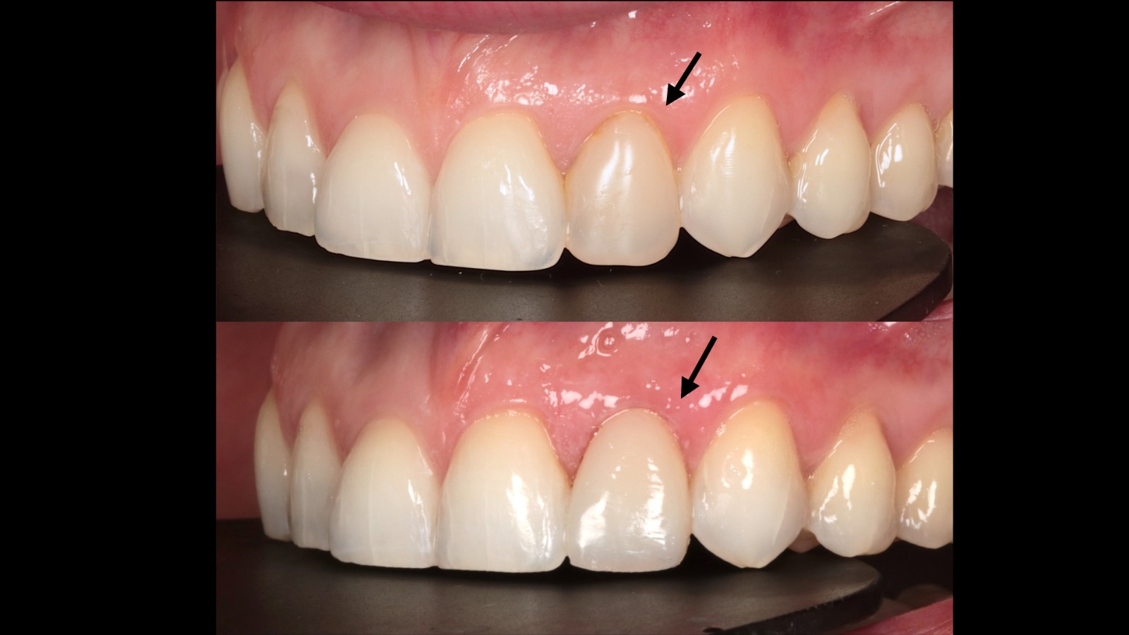
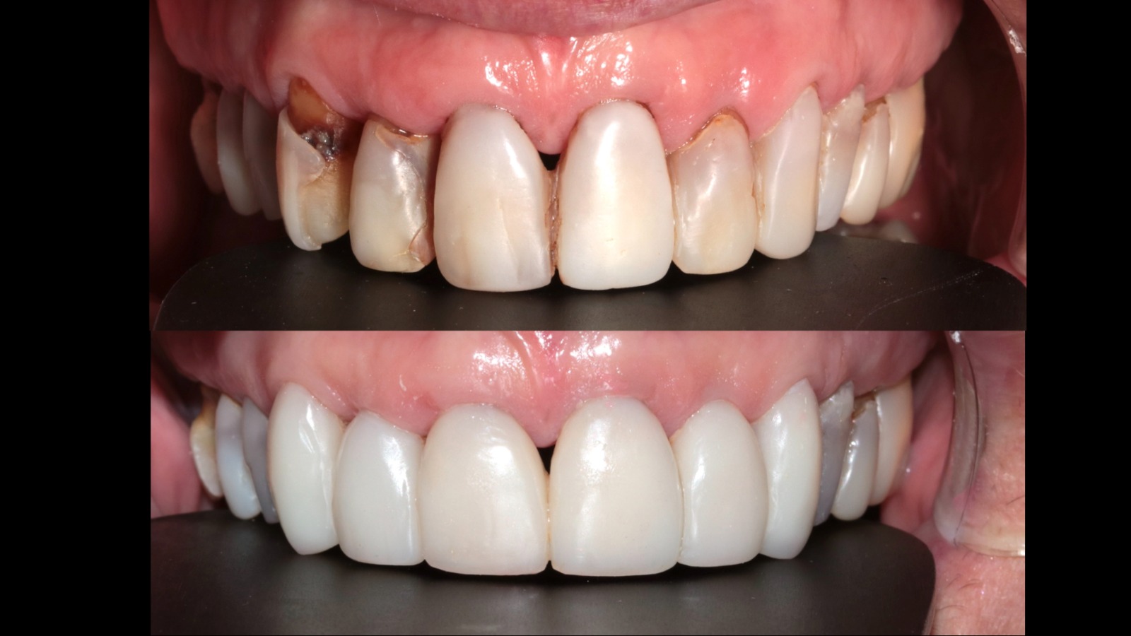
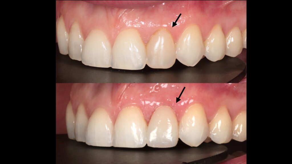
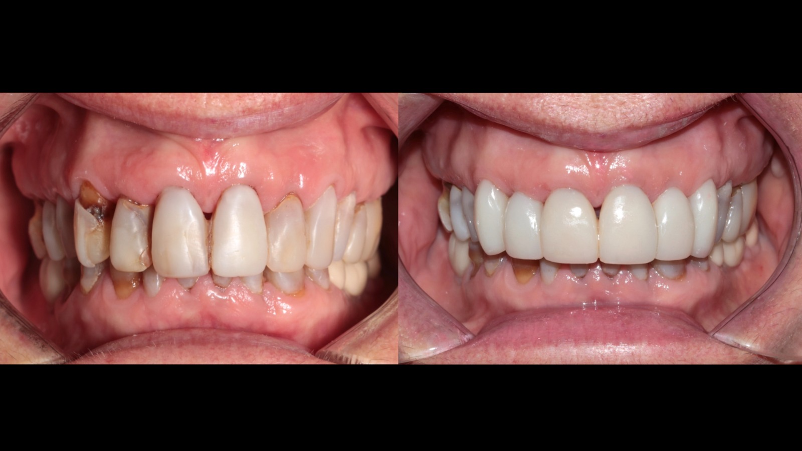
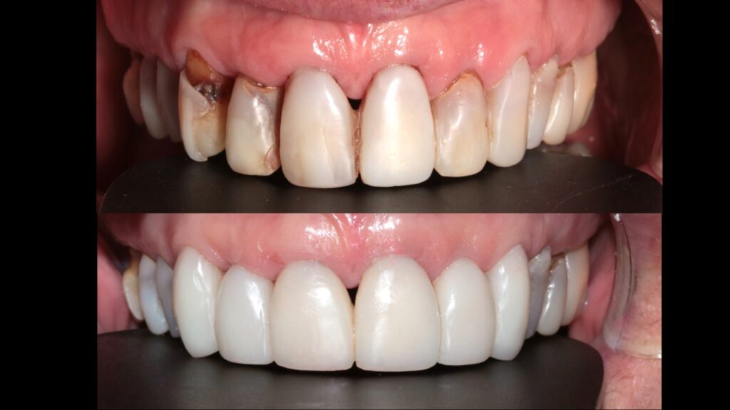
Casos clínicos reales
(Antes & Después)

Odontología sin miedo

Muchos pacientes llegan con ansiedad o experiencias negativas previas.

En Menara trabajamos con sedación consciente y anestesista propio para garantizar tratamientos sin dolor y sin estrés, devolviendo la tranquilidad al sillón dental.

Trato humano y cercano

Más allá de la técnica, nuestro equipo acompaña a cada paciente con empatía y confianza, explicando cada paso del tratamiento y diseñando soluciones personalizadas para cada caso.

Excelencia y precisión

Estamos especializados en implantología avanzada y rehabilitación oral completa, aplicando la última tecnología digital para lograr resultados duraderos, funcionales y estéticos.

Cada detalle cuenta en la transformación de tu sonrisa.

Innovación y estética natural

Desde carillas dentales y blanqueamiento hasta el Diseño Digital de Sonrisa (DSD), apostamos por tratamientos de odontología estética premium que armonizan la sonrisa con el rostro, respetando siempre la naturalidad.

Equipo especialista

Que opinan nuestros clientes

Susana Delgado
Estuve ayer en la Clínica y el trato por parte de Beatriz nada mas entrar fue maravilloso, después tenia cita con Sara , para valoración de una pieza que tras años de tratamiento en otras clínicas no estaba satisfecha con el resultado, ella después de 2h de trabajo, me ha dejado la pieza perfecta, fue muy profesional y hasta que no lo vio perfecto no paro, muy muy recomendable.
Estoy segura que tendrán muchos pacientes que opinen como yo.
Un Saludo y muchas gracias.
Rosa María
Clínica excepcional.
Llevaba tiempo buscando una clínica en Villaviciosa de Odón donde pudiesen hacerme un trabajo estético que además me ayudase con mi problema de encía
El resultado ha sido ESPECTACULAR!!!
La limpieza previa del higienista, Miguel, con un cuidado extraordinario, la atención administrativa por parte de Bea para resolver cualquier duda y ayudarte si planteas una financiación es súper profesional
Y ya cuando llegamos a la Dra. Sara te sientes el paciente más importante, trata tu caso con todo detalle y trabaja sin prisas, sin agobios, sin parar hasta obtener el resultado que ella quiere y que tú ni te esperas!!
Estoy super Feliz.
Son 6 carillas de composite que me han cambiado por completo la sonrisa.
Mi clínica dental para mí y mi familia a partir de ahora.
Gracias, chicos